A man who found a ‘cure’ to his back pain ended up suffering the consequences of the unusual pain-relief method.
Anyone who has suffered chronic back pain will known how debilitating it is and it can lead to people doing anything to find a way to fix it.
But, as you’re probably aware, steering away from proper medical help isn’t advised and can end up having devastating consequences — as this Irishman found out the hard way.
In 2019, there were reports of a man, 33, who took himself to hospital with what he described as ‘severe, sudden onset lower back pain’ that he sustained when moving a heavy steel object in the days leading up to his hospitalization.
As doctor’s examined him, they spotted that his arm was red and swollen and questioned the man about it.
A man with back pain found a ‘cure’ for his discomfort (Getty Stock Image)
It was then that they learnt that his back pain wasn’t actually new and that he’d been injecting himself with semen for the last 18 months as an apparent ‘cure’ for his ongoing pain without proper medical advice.
According to ABC News, the unnamed individual had been using a hypodermic needle he’d bought online to inject himself and shortly before his hospital trip he’d administered three ‘doses’ at once.
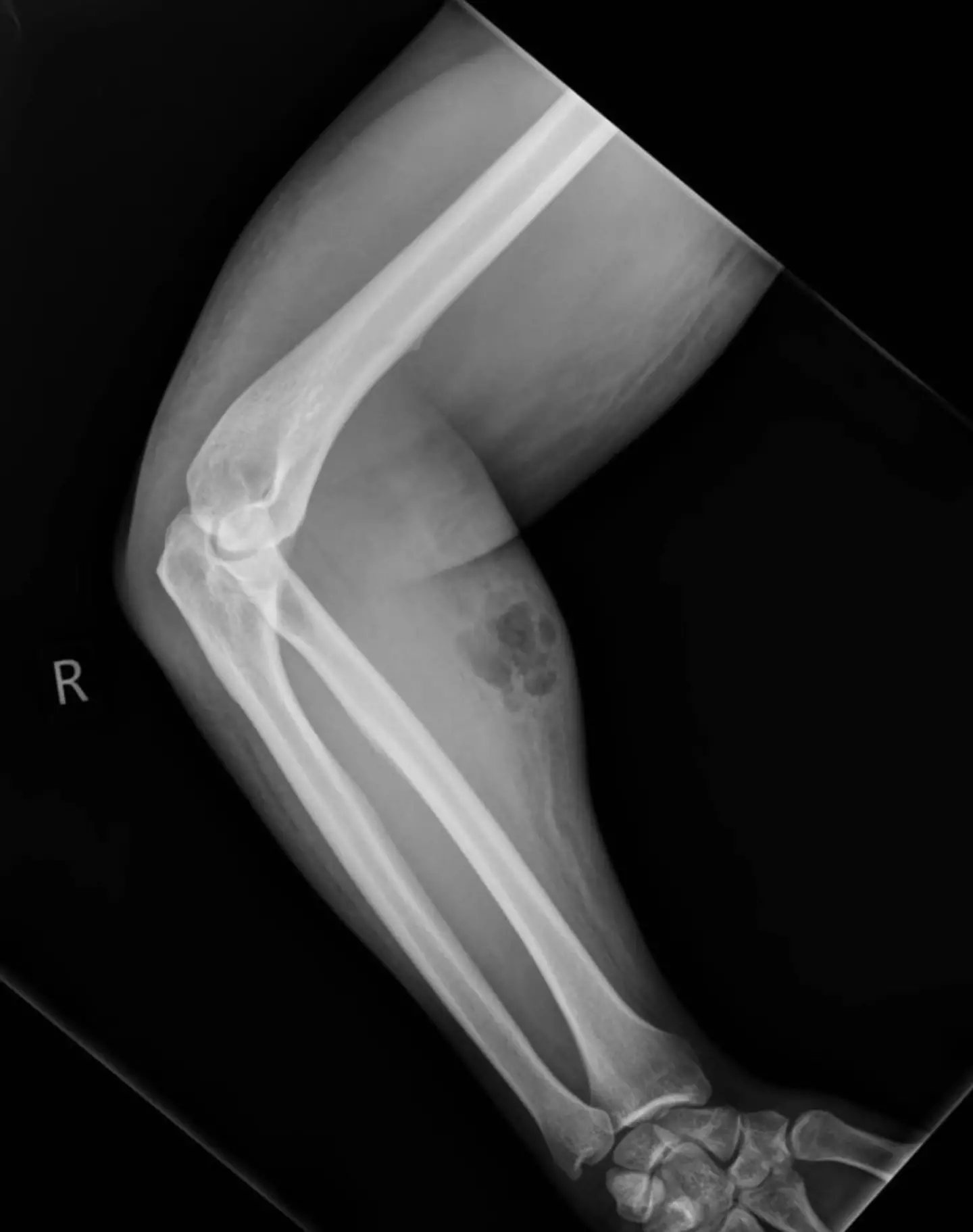
He proceeded to undergo an X-ray which found that he had subcutaneous emphysema and a collection of semen in his muscle. The man needed urgent antibacterial treatment as a result.
Cleveland Clinic describes subcutaneous emphysema as ‘a rare condition that happens when air gets trapped under your skin’.

An X-ray showed the build up of semen under the man’s skin (Irish Medical Journal)
When the man’s back pain had subsided, he went on to discharge himself from hospital before having his arm drained.
A report into the matter was later published in the Irish Medical Journal (IMJ) where Dr Lisa Dunne, the report’s lead author, penned: “Upon further interrogation of this alternative therapy, he revealed he had injected one monthly ‘dose’ of semen for 18 consecutive months using a hypodermic needle which had been purchased online.”
The incident was concluded to be the first reported human case of semen injection. It has been used on some animals, however.

Medics noticed the man’s red and swollen arm (Irish Medical Journal)
“Although there is a report of the effects of subcutaneous semen injection into rats and rabbits, there were no cases of intravenous semen injection into humans found across the literature,” the report stated.
“A search of more eclectic internet sites and forums found no other documentation of semen injection for back pain treatment or other uses.”
The IMJ report proceeded to issue a stark warning about trying out the man’s unconventional method at home.
“The dangers of venepuncture when carried out by the untrained layperson are highlighted as well as the vascular and soft tissue hazards surrounding the attempted injection of substances not intended for intravenous use,” it read.
“The case also demonstrates the risks involved with medical experimentation prior to extensive clinical research in the form of phased trials inclusive of safety and efficacy assessments.”